病理技术——各组织特殊染色方法

2024-11-01 14:50

组织特殊染色是指除了常规病理HE染色外,为了显示与确定组织中的正常结构或病理过程中出现的异常物质和病变等,需要分别选用相应的显示这些成分的染色方法进行染色。包括:结缔组织染色、胶原纤维染色、网状纤维染色、弹性纤维染色、肌肉组织染色、神经组织、骨组织染色、脂肪组织染色等。组织多色染色技术可以对多种组织进行基本的形态学检查和区分,各种单独染色则可以对特殊结构更鲜明的从背景中展示出来,还有部分染色可以做出对某些特殊类型肿瘤的鉴别等。

一、结缔组织

结缔组织由细胞和大量细胞间质构成,结缔组织的细胞间质包括液态、胶体状或固态的基质、细丝状的纤维和不断循环更新的组织液,具有重要功能意义。一般所说的结缔组织是指纤维性结缔组织而言,其结构特点是细胞间质内基质外含有较多的纤维成分,主要是胶原纤维、弹性纤维和网状纤维,通常采用多色染色法,该法染色利用不同分子量的染料来同时对不同疏松程度的结构进行染色。常见的几种多色染色方法有:

1、Mallory三色染色法:常用于判定多种组织、器官的病变程度及修复情况,区分肿瘤组织中的纤维成分与平滑肌,胶原和网状纤维蓝色,软骨、淀粉样变物质淡蓝色,神经胶质纤维、细胞核、肌纤维和酸性颗粒红色,髓鞘和红细胞橘红色。
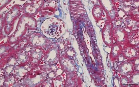
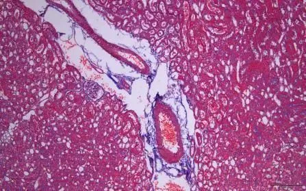
2、Masson三色染色法:又称马松染色,是最为经典的结缔组织染色法,胶原纤维染色权威的技术方法。胶原纤维绿色,细胞核呈蓝色,肌纤维红色,红细胞橘红色,主要用于胶原纤维和肌纤维的鉴别染色。对酒精性肝硬化/坏死后性肝硬化及各型肝炎导致的小叶汇管区纤维组织增生程度的差别和肾脏疾病的病理诊断具有重要价值。
3、Pollak三色法:是在Masson三色染色法基础上改良而来的结缔组织多色染色法,采用媒染剂和促染剂同时染色的方式进行染色,可以对结缔组织内的多种成分进行区分染色。将胶原纤维、黏液、软骨、神经纤维染成蓝色,肌肉、弹性纤维红色,纤维素为紫红色,细胞核染成蓝黑色。
4、Russell改良Movat五色法:主要用于显示动脉粥样硬化斑块。Weigert苏木素用于染细胞核,藏红品红用于染细胞质,藏红花染胶原组织,阿利新蓝染基质(蛋白聚糖)。
5、三联染色法:维多利亚蓝将弹性纤维染成绿色,胶原纤维被丽春红S染成红色,Gomori氨银改良染色液将网状纤维着染成黑色,并称三联染色法,肌肉和红细胞呈淡黄色。

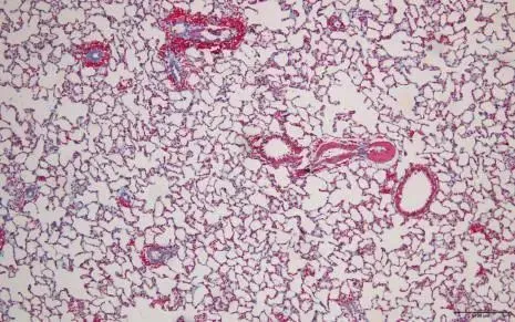
此外,还有改良Masson三色法、改良Gomori三色法(原纤维染成绿色,肌纤维染成红色,细胞核染成蓝色)等,除上述复合染色之外也有针对不同纤维的单一染色液,对比更明显结构观察的更清晰。
图片
Masson三色染色试剂盒-正常小鼠肾组织

图片
Masson三色染色试剂盒-正常小鼠肾组织

图片
改良Masson三色染色液-正常小鼠肺组织

二、胶原纤维

胶原纤维在三种纤维中数量最多,粗细不等,直径0.5-10um,呈波浪形,有分支并交织呈网,胶原度纤维的生化成分为I型胶原蛋白。胶原纤维对酸性染料的亲和力强,染色主要用于胶原纤维和肌纤维的鉴别。

1、Van Gieson(V.G)苦味酸酸性复红法:胶原纤维鲜红色,肌纤维黄色,胞质及红细胞黄色,细胞核呈蓝黑或灰色。可以显示组织、器官的损伤、修复及硬化情况,特别是用于鉴别肿瘤组织中的胶原纤维与平滑肌纤维,可为诊断提供重要依据。
2、天狼星红(Sirius Red)苦味酸染色法:由于胶原呈碱性,与酸性染料起强烈反应。天狼星红是一种很强的酸性染料,它可以和胶原纤维反应使胶原纤维产生明显的双折光现象。天狼星红染色胶原纤维呈红色,胞核呈绿色,其他呈黄色。偏光显微镜可见4种胶原纤维,可以分辨不同的纤维类型。

三、网状纤维

网状纤维在疏松结缔组织中含量较少,纤维较细,有分支,彼此交织成网状。用浸银法可将纤维染成黑色,故又称嗜银纤维,网状纤维染色多用镀银法染色,主要有Gomori氨银法、Gordon-Sweets法、James法、Foot法、Lillie法等十余种。

1、Gomori氨银染色法:网状纤维黑色,胶原纤维红色。鉴别诊断中的主要应用包括:癌和肉瘤的鉴别;恶性淋巴瘤和组织细胞肉瘤;血管内皮细胞瘤和外皮细胞瘤;黏液纤维瘤和黏液肉瘤。
2、改良Gordon-Sweets法:网状纤维染成黑色,胶原纤维显示为黄色至黄棕色,细胞核呈现红色,细胞质着淡黄色。利用氨银液易被组织吸附与组织的蛋白质结合,经甲醛还原成黑色或棕黑色的金属银,沉积于组织内及其表面。
3、Wider染色法:可以用来显示病变组织网状支架的破坏情况。特别是在肿瘤病理诊断中,网状纤维染色对于鉴别来源于上皮组织和间叶组织的恶性肿瘤具有重要价值。

四、弹性纤维

弹性纤维广泛分布于全身的各个部位,弹性纤维较细,直径0.2-1.0um,有分支,不成束。但可交织成网。主要由弹性蛋白构成,弹性纤维与胶原纤维交织在一起,含量少时不易与胶原纤维区别,弹性纤维与胶原纤维,网状纤维不同,它极难容于有机或无机的溶液里。

弹性纤维染色常用氧化法染色,可以显示皮肤组织中的弹性纤维变化;显示和判断心内膜和血管病变程度,如心内膜弹力纤维增生症常可见到弹性纤维断裂,梅毒性主动脉炎和皮肤的环状肉芽肿,动脉粥样硬化均可见到弹性纤维裂解和崩解,动脉粥样硬化时血管壁也有各类变化;用于区别观察各种疾病对弹性纤维的影响及变化,如原发性或继发性高血压可见主动脉弹性纤维增生,老年弹性纤维增多症;还可以鉴别特定类型的肿瘤组织,如弹性纤维瘤。弹性纤维的染色方法主要有Gomori醛品红法、Weigert法、维多利亚蓝法、地衣红法、Verhoeff苏木素法等。此外,还有可以同时显示弹性和胶原纤维的双重组合染色法,如Weigert间苯二酚法、伊红-醛复红法、维多利亚蓝-丽春红S法。

Gomori醛品红法:可以将弹性纤维染成紫色到深紫色,黏液紫色,背景呈不同程度的黄色。成熟的醛品红对特殊的蛋白质及含有硫酸根的黏多糖具有很强的亲和力,与弹性纤维结合的很好,该染液亦显示肥大细胞颗粒,脂褐素、嗜酸性细胞等。

五、肌肉组织

肌肉纤维染色和胶原纤维染色大多使用三色染色法联合区分,PTAH肌纤维染色法用于横纹肌染色,可区分心肌和骨骼肌,并可以对肌纤维的变性坏死和修复变化有一个直观的展示。此外,还有Masson染色法、Uan Gieson染色法等也可用于横纹肌的染色,Nagar-Olsen染色法用于早期心肌病变染色和Poley显示缺氧心肌染色法等。

Mallory磷钨酸苏木素染色液:又称PTAH自然氧化法,常用于平滑肌的染色,尤其多用于显示横纹肌的横纹,应用该方法可对横纹肌肉瘤与未分化的间胚叶肿瘤鉴别诊断,在瘤细胞质内发现蓝色横纹,则证明该肿瘤是呈横纹肌分化。该染色液也可以对炎症渗出的纤维素,DIC的毛细血管中的纤维素以及神经病理等方面进行染色。胞核、纤维、肌肉、神经胶质纤维、横纹肌等均呈蓝色,胶原、网状纤维、骨基质及骨黄色或玫瑰红色。

六、神经组织

神经组织包含中枢神经和周围神经两部分,主要由神经细胞、神经胶质细胞以及神经纤维组成。常用特殊染色显示和观察神经组织中的尼氏小体、神经元、神经纤维、髓鞘和胶质细胞。
尼氏小体染色
尼氏小体分布于神经元除轴突和轴丘以外的胞浆中,与神经元的功能有非常密切的联系,因而在病理状态下的神经元变性过程中尼氏小体的变化甚为敏感。可用于对脑组织的炎症、变性、中毒等病变的程度和进展进行判断。一般用尼氏小体染色来对神经元进行计数,观察是否有神经元丢失。常用焦油紫法、硫堇法、甲苯胺蓝法进行染色。此外,还有Einarson 棓酸青蓝和天竺牡丹染色法等。

1、焦油紫法:尼氏体着紫红色,胶质细胞淡紫色,背景近乎无色。
2、甲苯胺蓝法:尼氏体着淡蓝色,细胞核深蓝色,背景无色。
神经元和神经纤维染色
神经元和神经纤维集中于大脑、小脑皮质、脑干、脊髓等中,高尔基染色是公认的最传统和有效的神经系统形态研究的方法。利用重铬酸钾与硝酸银发生反应,生成黑色的铬酸银沉淀,由于组织的嗜银性而沉积于神经元中。可用来计数spine的数量;也可用来分析神经元的复杂性(Sholl分析)。神经纤维染色常用于观察老年痴呆的造成的脑萎缩形成的空斑以及神经纤维缠节。常用Bielschowsky法weil铁明矾法。此外,还有Holmes染色法、Von Braunmubl神经纤维、老年斑染色法和Eagert退变神经纤维染色法。

改良Bielschowsky法:是一种镀银染色液,可以将神经元和神经纤维染成棕黑色,背景无色或淡黄色。背景干净,对比清晰,是很好用的神经元特殊染色法。
神经髓鞘染色
髓鞘的变性、脱失和多种疾病有关,因而通过特殊染色法显示病变的累及区域、范围和深度具有一定的病理学研究和诊断意义。常用LFB法(Luxol fast blue)进行染色。此外,还有Weil、固绿、改良Page、FeH、Weigert-Pal、Kultshitzky、变色酸2R-亮绿、Marchi退变髓鞘染色法等。

LFB法:在分化合适的情况下可以把髓鞘染成蓝绿色,然后经伊红或者焦油紫复染后深化为蓝色,同时对背景着色加强对比。
神经胶质细胞染色

Cajal星形细胞染色、Weil及Davenport小胶质细胞和少突胶质细胞染色、Naou menko及Feigin小胶质细胞染色法等。

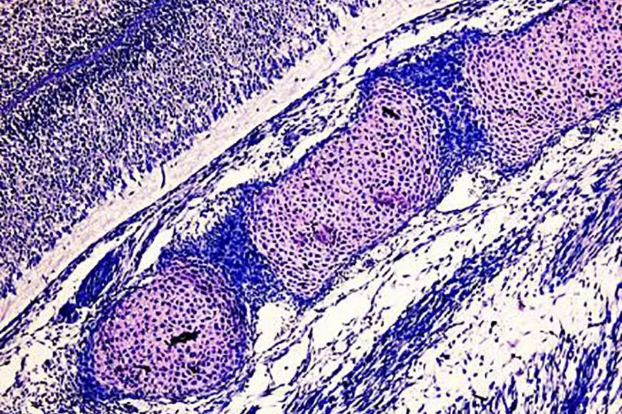
七、骨组织

骨组织是一种坚硬的结缔组织,由细胞、基底和纤维组成,基质含有大量的固定的无机盐沉积。最常用改良番红O-固绿法对矿化骨、软骨和细胞核同时染色来观察整体的情况,单一成分的特殊染色法主要用于观察骨的矿化或脱矿程度,软骨的边界和增殖以及骨小梁的生长情况。

1、改良番红O-固绿法:可将矿化骨染成绿色,软骨着红色,细胞核着紫蓝色。可在同一张片子上完整地展现骨骼的成分比例和生长状态。
2、茜素红S法:可以专一的将钙盐染成粉红到红色,可用于骨组织的鉴定以及成骨细胞分化诱导结果的判定。

图片
改良番红O-固绿软骨染色试剂盒-正常小鼠膝关节

图片
钙盐染色液(茜素红S法)-胎鼠纵切(脊柱)

图片
钙盐染色试剂盒(Von Kossa法)-胎鼠纵切(肋骨)

软骨组织染色
软骨组织按其结构可以分为透明软骨、弹性软骨和纤维软骨。软骨组织的染色方法很多,透明软骨常选用用Masson法、Mallory法、Azan法等;弹性软骨可选用弹性纤维的染色方法,如Verixoeff铁苏木素法、Weigert间苯二酚复红法等;纤维软骨可选用任何显示胶原纤维的染色法,如Mallory法、Van Gieson法以及软骨组织的特殊染色方法。软骨组织的特殊染色方法有:甲苯胺蓝异染法、阿利新蓝法、Romeis美蓝法、Lyon blue (里昂蓝)法和Schaffer硫堇法等。

甲苯胺蓝异染法:染色后背景着蓝色,软骨着紫红色,利用甲苯胺蓝和不同等电点的蛋白结合后呈现不同颜色的异染性原理来专一的对软骨组织进行着色。

八、脂肪组织

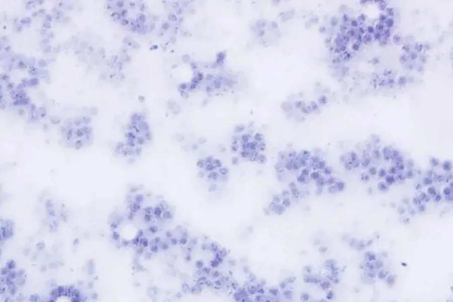
脂类染色法主要用于证明心,肝,肾脂肪变性,脂肪栓子,动脉粥样硬化以及肿瘤的鉴别。最常用的有苏丹Ⅲ、苏丹Ⅳ、苏丹黑、油红O等。脂肪被染色,实际上是苏丹染料被脂肪溶解吸附而呈现染料的颜色。油红O、苏丹Ⅲ、苏丹Ⅳ可将组织里的脂肪染成不同程度的红色,苏丹黑可以将中性脂肪染成黑色。


图片
苏丹黑B染色液-小鼠血涂片

图片
改良油红O染色液-小鼠脂肪肝造模

图片
改良油红O染色液-肥胖小鼠肝
本文转载自病理海
转载仅作观点分享,版权归最初的原作者所有
如有侵犯版权,请及时联系我们